KOH Test (Potassium Hydroxide Test)

Introduction

The KOH Test (Potassium Hydroxide Test) is a simple, quick, and inexpensive laboratory test used to diagnose fungal infections of the skin, hair, and nails. It is commonly performed in dermatology clinics to confirm conditions like ringworm (tinea), candidiasis, and pityriasis versicolor.

KOH  SOLUTION 

What is a KOH Test?

The KOH test involves placing a small sample of skin scales, hair, or nail scrapings on a glass slide and adding a few drops of 10–20% potassium hydroxide (KOH) solution.

KOH dissolves keratin (the main protein in skin, hair, and nails) but does not destroy fungal elements, making it easier to see fungus under a microscope.

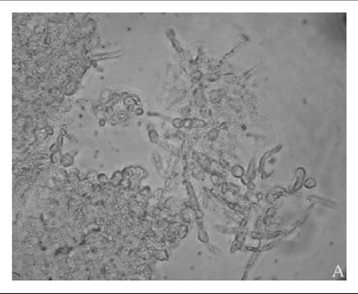
FUNGAL HYPHAE ( Thread Like Structure )

Why is the KOH Test Done?

This test is done when a doctor suspects a fungal infection, such as:

  • Tinea corporis (ringworm of body)
  • Tinea capitis (scalp fungal infection)
  • Tinea pedis (athlete’s foot)
  • Tinea cruris (jock itch)
  • Tinea unguium / Onychomycosis (nail fungus)
  • Pityriasis versicolor
  • Candidiasis

Procedure of the KOH Test

The test is very quick and painless.

Steps:

  1. The doctor gently scrapes the affected skin or takes nail/hair samples.
  2. The sample is placed on a glass slide.
  3. A few drops of KOH solution are added.
  4. The slide is gently heated or left for a few minutes.
  5. The slide is examined under a microscope.

What Does the KOH Test Show?

Under the microscope, the doctor looks for:

Fungal hyphae (thread-like structures)
Yeast cells or budding yeast
Spores

A positive KOH test means fungal elements are seen.
A negative test means no fungus is detected.

Advantages of KOH Test

  • Quick results (within minutes)
  • Low cost
  • Simple and easy to perform
  • No advanced laboratory required

Limitations of KOH Test

  • Cannot identify the exact species of fungus
  • Requires proper sample collection
  • False negatives can occur if the sample is not taken correctly

For species identification, a fungal culture may be required.

Preparation Before the Test

Usually, no special preparation is needed. However:

  • Avoid applying antifungal creams or lotions for 24 hours before the test for better accuracy.

Is the KOH Test Painful?

No, it is mostly painless. You may feel mild scratching during sample collection.

Who Should Get a KOH Test?

You should consider this test if you have:

  • Itchy, scaly skin patches
  • Rashes with clear center and red borders
  • Thick or discolored nails
  • White patches on scalp or skin

Conclusion

The KOH test is a fast, reliable, and essential diagnostic tool for detecting superficial fungal infections. It helps doctors start the correct treatment early and prevents complications.

Frequently Asked Questions (FAQ)

Q1: How long does a KOH test take?
It usually takes 10–15 minutes, and results are often available immediately.

Q2: Is the KOH test safe?
Yes, it is completely safe and non-invasive.

Q3: Can the KOH test be done at home?
No, it should be done by trained healthcare professionals in a clinic or lab.

Q4: Is fasting required before the test?
No, fasting is not required.

Q5: What if the KOH test is negative but symptoms remain?
Your doctor may suggest a fungal culture or biopsy for further evaluation.

1 thought on “KOH Test (Potassium Hydroxide Test)”

Leave a Comment